Connect With Us

The feet contain 26 bones each, creating numerous joints and surfaces where bone spurs may develop from repeated stress, inflammation, or injury. These bony growths, known as osteophytes, often form when the body responds to pressure or friction. If conservative care does not ease symptoms, a podiatrist may suggest surgery to remove the bone spur or address any tight tissues that may be contributing to discomfort. Resection surgery trims away the excess bone, and the type depends on the location. A dorsal spur excision is on the top of the foot, an inferior heel spur resection is under the heel, and a posterior heel spur removal is at the back of the heel. If soft tissue is involved, plantar fascia release or partial Achilles tendon release may be employed. In cases of severe joint damage, joint fusion can stabilize the area while joint replacement can restore movement. If you are experiencing this type of foot pain, it is suggested that you schedule an appointment with a podiatrist for an exam and appropriate treatment options.
Foot surgery is sometimes necessary to treat a foot ailment. To learn more, contact David Reynolds, DPM of First Podiatry. Our doctor will assist you with all of your foot and ankle needs.
When Is Surgery Necessary?
Foot and ankle surgery is generally reserved for cases in which less invasive, conservative procedures have failed to alleviate the problem. Some of the cases in which surgery may be necessary include:
What Types of Surgery Are There?
The type of surgery you receive will depend on the nature of the problem you have. Some of the possible surgeries include:
Benefits of Surgery
Although surgery is usually a last resort, it can provide more complete pain relief compared to non-surgical methods and may allow you to finally resume full activity.
Surgical techniques have also become increasingly sophisticated. Techniques like endoscopic surgery allow for smaller incisions and faster recovery times.
If you have any questions, please feel free to contact our office located in Evansville, IN . We offer the newest diagnostic and treatment technologies for all your foot care needs.

Achilles tendinopathy causes pain and stiffness in the Achilles tendon, which connects the calf muscles to the heel bone. Achilles tendinopathy often develops gradually, due to repeated strain on the tendon, especially in people who run or participate in sports that involve jumping. Overuse, poor training habits, and exercising on hard or sloped surfaces can increase the risk of tendon damage. Rapidly increasing workout intensity or wearing shoes that lack proper support may also place extra stress on the Achilles tendon. People with flat feet or limited ankle flexibility may be more vulnerable. Achilles tendinopathy tends to worsen with activity and can limit daily movement, especially after rest periods. A podiatrist can diagnose the cause of the pain and assess the extent of tendon damage. If you are experiencing pain in the Achilles tendon, it is suggested that you schedule an appointment with a podiatrist for a diagnosis and appropriate treatment options.
Achilles tendon injuries need immediate attention to avoid future complications. If you have any concerns, contact David Reynolds, DPM of First Podiatry. Our doctor can provide the care you need to keep you pain-free and on your feet.
What Is the Achilles Tendon?
The Achilles tendon is a tendon that connects the lower leg muscles and calf to the heel of the foot. It is the strongest tendon in the human body and is essential for making movement possible. Because this tendon is such an integral part of the body, any injuries to it can create immense difficulties and should immediately be presented to a doctor.
What Are the Symptoms of an Achilles Tendon Injury?
There are various types of injuries that can affect the Achilles tendon. The two most common injuries are Achilles tendinitis and ruptures of the tendon.
Achilles Tendinitis Symptoms
Rupture Symptoms
Treatment and Prevention
Achilles tendon injuries are diagnosed by a thorough physical evaluation, which can include an MRI. Treatment involves rest, physical therapy, and in some cases, surgery. However, various preventative measures can be taken to avoid these injuries, such as:
If you have any questions please feel free to contact our office located in Evansville, IN . We offer the newest diagnostic tools and technology to treat your foot and ankle needs.

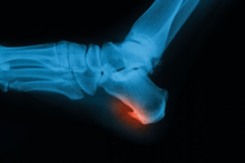
A heel spur is a calcium deposit that forms under the heel bone, often linked to ongoing strain on the foot. Although the spur itself may not always cause pain, the surrounding tissue can become irritated. Recovery focuses on reducing pressure and inflammation. Wearing supportive shoes with good arch structure, cushioned insoles, and soft heel pads can make a big difference. Stretching the calf and foot regularly helps ease tension along the bottom of the foot. Avoiding high-impact activities allows the area to calm down. In some cases, custom orthotics or targeted exercises may be helpful. While quick relief is possible with the right care, complete healing may still take time. If your heel pain does not improve or becomes more intense, it is suggested that you see a podiatrist for a proper diagnosis and a personalized treatment plan.
Heel spurs can be incredibly painful and sometimes may make you unable to participate in physical activities. To get medical care for your heel spurs, contact David Reynolds, DPM from First Podiatry. Our doctor will do everything possible to treat your condition.
Heels Spurs
Heel spurs are formed by calcium deposits on the back of the foot where the heel is. This can also be caused by small fragments of bone breaking off one section of the foot, attaching onto the back of the foot. Heel spurs can also be bone growth on the back of the foot and may grow in the direction of the arch of the foot.
Older individuals usually suffer from heel spurs and pain sometimes intensifies with age. One of the main condition's spurs are related to is plantar fasciitis.
Pain
The pain associated with spurs is often because of weight placed on the feet. When someone is walking, their entire weight is concentrated on the feet. Bone spurs then have the tendency to affect other bones and tissues around the foot. As the pain continues, the feet will become tender and sensitive over time.
Treatments
There are many ways to treat heel spurs. If one is suffering from heel spurs in conjunction with pain, there are several methods for healing. Medication, surgery, and herbal care are some options.
If you have any questions, please feel free to contact our office located in Evansville, IN . We offer the newest diagnostic and treatment technologies for all your foot care needs.

Type 1 diabetes can affect many parts of the body, including the feet. High blood sugar levels over time may damage nerves and reduce circulation, making it harder to feel or notice small injuries. Even minor pressure from a poorly trimmed toenail can lead to inflammation or an ingrown nail, especially if shoes are tight or put stress on the toes. People with diabetes are also more prone to infections, and what starts as a simple nail problem can become more serious if left untreated. Thickened or brittle nails, often seen in diabetic patients, may be harder to trim properly, increasing the chance of the nail growing into the skin. Proper nail care and early attention to changes in the feet are essential for avoiding complications. If you notice redness, swelling, or pain surrounding a toenail, it is suggested that you see a podiatrist for an accurate diagnosis and appropriate treatment.
Diabetic foot care is important in preventing foot ailments such as ulcers. If you are suffering from diabetes or have any other concerns about your feet, contact David Reynolds, DPM from First Podiatry. Our doctor can provide the care you need to keep you pain-free and on your feet.
Diabetic Foot Care
Diabetes affects millions of people every year. The condition can damage blood vessels in many parts of the body, especially the feet. Because of this, taking care of your feet is essential if you have diabetes, and having a podiatrist help monitor your foot health is highly recommended.
The Importance of Caring for Your Feet
Patients with diabetes should have their doctor monitor their blood levels, as blood sugar levels play such a huge role in diabetic care. Monitoring these levels on a regular basis is highly advised.
It is always best to inform your healthcare professional of any concerns you may have regarding your feet, especially for diabetic patients. Early treatment and routine foot examinations are keys to maintaining proper health, especially because severe complications can arise if proper treatment is not applied.
If you have any questions, please feel free to contact our office located in Evansville, IN . We offer the newest diagnostic and treatment technologies for all your foot care needs.

Plantar warts are small, rough growths that develop on the soles of the feet due to the human papillomavirus. They often appear as hard, grainy lesions with tiny black dots in the center and may cause pain while walking or standing. These warts can be mistaken for calluses but are often more tender and grow inward due to pressure from standing. They are commonly spread in moist environments like locker rooms or public showers. Individuals with weakened immune systems or those who walk barefoot are at higher risk. A podiatrist can diagnose plantar warts and offer treatments such as topical therapy, cryotherapy, or removal. If you have developed a plantar wart, it is suggested that you seek professional care from a podiatrist to ensure an accurate diagnosis and effective relief from discomfort.
Plantar warts can be very uncomfortable. If you need your feet checked, contact David Reynolds, DPM from First Podiatry. Our doctor will assist you with all of your foot and ankle needs.
About Plantar Warts
Plantar warts are the result of HPV, or human papillomavirus, getting into open wounds on the feet. They are mostly found on the heels or balls of the feet.
While plantar warts are generally harmless, those experiencing excessive pain or those suffering from diabetes or a compromised immune system require immediate medical care. Plantar warts are easily diagnosed, usually through scraping off a bit of rough skin or by getting a biopsy.
Symptoms
Treatment
To help prevent developing plantar warts, avoid walking barefoot over abrasive surfaces that can cause cuts or wounds for HPV to get into. Avoiding direct contact with other warts, as well as not picking or rubbing existing warts, can help prevent the further spread of plantar warts. However, if you think you have developed plantar warts, speak to your podiatrist. He or she can diagnose the warts on your feet and recommend the appropriate treatment options.
If you have any questions, please feel free to contact our office located in Evansville, IN . We offer the newest diagnostic and treatment technologies for all your foot care needs.
Connect With Us